Anatomy ブログ

WEEK10 Day3 ケーススタディ(出席任意)

金曜日はケーススタディ。参加は任意(記録のため出席はとる)。テーマは下肢の解剖だが、担当講師は出題には関与しない。事前の資料配付はナシ。メモの用...

WEEK10 Day1 肛門三角~尿生殖三角

<過去問解答訂正> 2023 問35 誤 c → 正 b <前説> 今日の剖出チェック:坐骨海綿体筋、球海綿体筋、浅会陰横筋、 CTチェックリス...

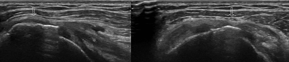
回旋筋腱板の解説をAIに頼む

ChatGPTが一般にリリースされたときには、解剖学的な内容を聞いてもデタラメな情報しか得られなかった。そのころのChatGPTの回答はこんな感...

WEEK10 骨盤部

今週で体幹部とその中の内臓の解剖が終わる。CT課題も今週まで。課題も含めて、これまでの解剖をまとめていこう。 金曜日の講義は出席任意。 来週は第...

WEEK9 Day2

消化管の取り出し の前に、トライツ靱帯(十二指腸堤筋)を探すー線維束、壊しがち 腸管を切る位置にの近位と遠位の2か所結紮して、その間を切る。(1...

インフルエンザの予防に努めましょう

群馬県の市中でもインフルエンザの流行が続いています。解剖学の履修生からも毎週出席停止の連絡が届きます。 解剖学実習は一期一会で、後で見直すことが...

WEEK9 腹部・骨盤部

水曜日:骨盤部と骨盤の前説、骨盤の実習 木曜日:消化管を取り出し腹膜後・横隔膜、腹部エコー 金曜日:泌尿生殖器系の発生

WEEK8 Day2 上・下腸間膜動脈領域

※グラントの手順通りに進めましょう!手順バイパスしないこと! 上・下腸間膜動脈領域 動脈の栄養領域 虚血性腸炎(今年も何班かある、特に下降結腸で...

WEEK8 Day1 腹腔動脈領域

腹腔 肝胃間膜と肝十二指腸間膜を同定する(網嚢の前方の構成物)→網嚢孔 胃と横行結腸がつながってる(腹膜で)→当たり前 大網の観察・解剖のときに...

WEEK8 腹部

今週から腹部の解剖。 水曜日:腹壁を開き、腹腔・腹膜・腹膜腔の成り立ちを見る。腹腔動脈の領域をみる。腹腔動脈のスケッチをはじめる 木曜日:上腸間...