CT、MRIなどの医用画像はDICOMという規格のファイル。それらを見るにはDICOMに対応したソフトが必要になる。無料ないし安価に済ませよう。
クイックアドバイス
- Macを使っている
- Horosをサイトからダウンロードしてインストール
- 少しならお金を払ってもいいのでラクチンに:App StoreでMiele-LXIVを購入
- Windowsを使っている
- Microsoft StoreでWeasis DICOM medical viewerをインストール
- ちょっと手間でもよければ、Bee DICOM Viewerをサイトからダウンロードしてインストール
- 少しならお金を払ってもいい:RadiAntをダウンロードしてインストールして課金
- これからパソコンを買う:Macを買って1へ
- iPadでも使いたい
- App StoreでeMmaをインストール
- 少しならお金を払ってもいい:Falcon Mxをインストールして課金
- 医院・病院に入れたい
- システムとして整備しないとなのでコンサルに相談
無料で使えるソフト
- Horos (macOS)*
- Bee DICOM Viewer (macOS / Windows) *
- eMma (iPadOS) *
- IMAIOS DICOM Viewer (iPadOS / Android / ブラウザ)
- Weasis DICOM medical viewer (macOS / Windows / Linux) *
- 3D Slicer (macOS / Windows / Linux)
- Onis Free Edition (Windows)
- Sycorax (Windows)
- Starviewer (Windows / Linux)
商用ソフトで比較的安価なもの
薬機法の認証取得済のは実際の診療にも使える。
- Miele-LXIV (macOS) *
- RadiAnt (Windows) *
- Falcon Mx (iPadOS / macOS) *
- Athena DICOM Essential / Expert (Windows)
- OsiriX MD (macOS) 薬機法認証済
- Synapse Vincent (Windows) 薬機法認証済
(*は授業で無料ないし安価に使うときの推奨)
用語
- DICOM = CTやMRIなどで撮影した医用画像のフォーマットと、それらを扱う医用画像機器間の通信プロトコルを定義した標準規格(Wikipediaから)
- MPR = 多断面再構成。CTやMRIなどの3次元データから任意の断面像を計算によって求めること
- MIP = 最大値投影。3次元データを影絵のように平面に投影するとき、光跡上の最大値を使って画像にすること
- VR = ボリュームレンダリング。CTやMRIなどの三次元データから、奥行きのある立体的な画像を計算によって求めること
- Thick Slice = CTの数枚の断面を重ねて、その枚数分の厚みのある断面を計算によって求めること
- LUT = ルックアップテーブル。2次元画像の要素であるピクセルや、3次元画像の要素であるボクセルのもつ数値に対して、一定の色調や明暗を割り当てるための対応表
- ウインドウ = CTやMRIのボクセルの数値をCT値といい、-1000を下限とする16ビット整数で表す。全部を画面に表示させるとヒトの眼に認識できる階調の範囲を超えるので、その一部の範囲を画面上に表示する。その範囲をウインドウという。見たいもののCT値に応じてウインドウを調整する
無料アプリ
Horos(macOS)
かつてオープンソースで無料だったころのOsiriXをもとに改良。日本語環境で正常に動作しないが、対処は可能。対処法はこちら。
ユーザーからのドネーションで開発されている。

Horos
Bee DICOM Viewer (macOS / Windows)
CT画像の入ったフォルダーをドラッグ・アンド・ドロップするだけで使える、シンプルなビューア。MPR、VR、フュージョンが可能。寝台除去を自動でできる。
macOS版はAppStoreから、Windows版はメーカーサイトからダウンロードしてインストール。

macOS版

Windows版
eMma (iPadOS)
iPadで無料で使うなら。Axial / Coronal / Sagittal が可能。Finder(Mac)ないしiTunes(Windows)経由でDICOMファイルをインポートする。JPEG2000圧縮されたDICOMに対応。見ることだけの機能的にミニマムなビューア。大きさの計測などできず、ウインドウのプリセットもない

eMma
IMAIOS DICOM Viewer (iPadOS / Android)
MPRが可能。iCloudなどからファイルをiPadにダウンロードし、インポート。圧縮DICOMファイルに対応していないので、Horosなどで解凍してからエクスポートしたのを使う。

IMAIOS
IMAIOS DICOM Viewer (ブラウザ版)
ブラウザ上で動作するDICOMビューア。アプリ版と概ね同じことができる。データはブラウザだけにありサーバにはアップロードされないので、プライバシー漏洩の心配はない。

IMAIOSブラウザ版
Weasis DICOM medical viewer (macOS / Windows / Linux)
Windows版はMicrosoft Storeから入手。macOS版は、Homebrewをまずインストールしないといけない。
オープンソース、マルチプラットフォームのDICOMビューア。日本語対応(環境設定で言語を変更してアプリをリスタート)。3D機能はMPR、thick sliceができる。VRもできるが、LUTの機能不足で、みやすい画像に仕上げるのは難しい。
3D Slicer (macOS / Windows / Linux)
科学技術全般の3次元データの可視化のための汎用アプリ。1988年から今も開発が継続されている。現在のバージョンでは、DICOMデータを扱うための機能拡張も最初から組み込まれていて、医学研究にも用いられる。医用画像をみるだけの用途にはオーバーキルかもしれない。

Onis Free Edition(Windows)
商用版の無料お試し版。3D機能はMPRとMIP(商用版もMPRまで)。シンプルなのでよければ、これもよい。

Sycorax DICOM Viewer (Windows)
MPR可
Starviewer
WindowsとLinux向けの無料のビューア。macOS版は開発中。2D、フュージョン、VRが可能だが、まだプリミティブな感じ。

商用アプリ
Miele-LXIV(macOS)
2023年8月末(?)に無料から有料になった。
かつてオープンソースで無料だったころのOsiriXをもとに改良。フルスペックの2Dと3D。Mac App Storeから入手。日本語化されている。作者はイタリアのフリーランスのエンジニアで、日本語ができる。
Miele-LXIVの読み方は「ミエーレ ロクジューヨン」(作者に確認した)。Mieleはイタリア語でハチミツで、 Medical Imaging ELEmentsのイニシャル。LXIVは64ビット版だから。
インストールが簡単で日本語対応なので、macOSで課金してよければ、これがオススメ。

RadiAnt(Windows)
Microsoft Storeから入手。2D、3D(MPR / VR)とも基本機能を備えたビューア。サブスクリプション。無料の試用ライセンスで30日間使える。試用中は、サブスクリプション購入を促すメッセージが出て、セッション当たり5分間の時間制限がある。
Windowsで有料でもよければこれがオススメ。

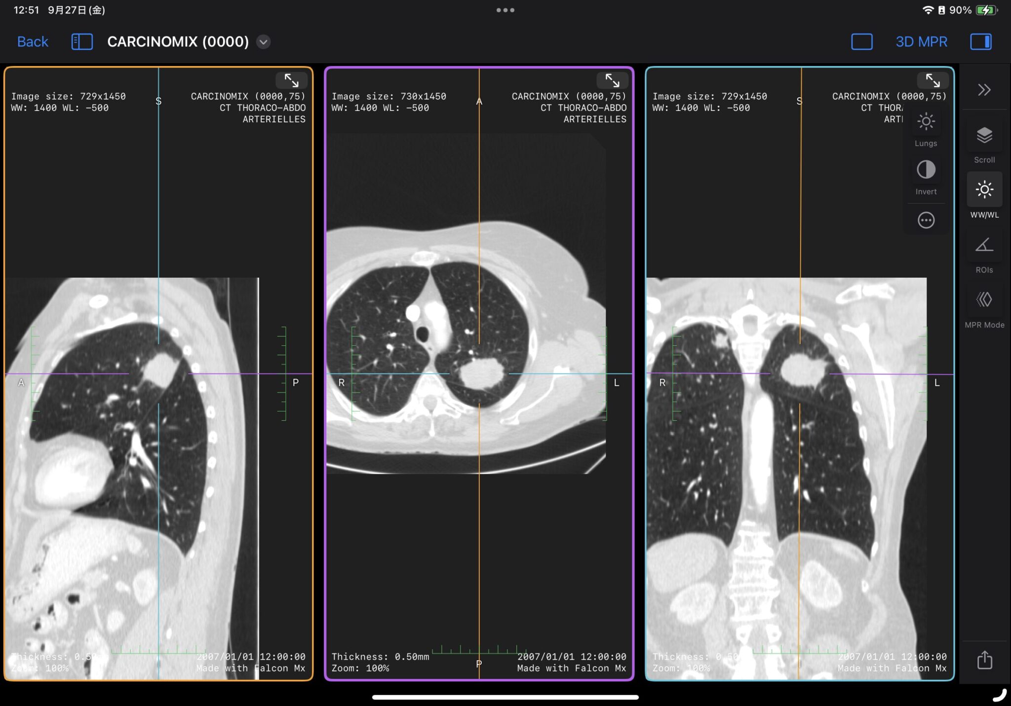
Falcon Mx (iPadOS /macOS)
無料で使えるのはサンプル画像だけ。年間・半年・月間のサブスクリプションで、自分の画像を登録できるようになる。3D VRもできる。iPadでVRもできるのはこれだけ。MacならMiele-LXIVのほうがよい。

Athena DICOM Viewer(Windows)
Microsoft Storeから入手。Expert(3D可)とEssential(3D不可)があり、いずれも有料のサブスクリプション。


OsiriX MD(macOS)
3D機能が強力。薬機法認証済なので、診断にも使える。OsiriXのサイトでライセンスを購入できる。請求書払いなら、大学生協や(有)ニュートン・グラフィックスなどが取り扱っている。
Synapse Vincent(Windows)
3D機能が強力。顔認識AIと同じ技術で区域気管支や肝区域を自動認識するなど、自動化機能が診療をサポート。群馬大のAiセンターに入っている。薬機法認証済。
認証について
DICOMビューアを実際の診療に使うには、次の2つの条件が必要。
- DICOM適合性:DICOM規格を製品がみたしていること。DICOM適合性宣言書をメーカーが呈示している。
- 「医薬品、医療機器等の品質、有効性及び安全性の確保等に関する法律」(薬機法)による認証を受けていること。

