Larsen’s Human Embryology, 6E
Warning: Undefined property: stdClass::$Offers in /home/.sites/site83/wwwroot/web/wp-content/plugins/wp-associate-post-r2/classes/class-amazon.php on line 159
Warning: Attempt to read property "Summaries" on null in /home/.sites/site83/wwwroot/web/wp-content/plugins/wp-associate-post-r2/classes/class-amazon.php on line 159
発生学の教科書には3つの視点があり、教科書ごとにウエイトが違う:
- 記載発生学(発生の形態変化を丁寧に観察し記述)
- 発生生物学(発生の因果を細胞や分子のレベルで説明)
- 臨床との関連(先天異常の仕組みを発生学や発生生物学から裏付け)
『Larsen’s Human Embryology』は、これら全て含み、頻繁にアップデートされている教科書の1つだ。
この第6版を手に取ってすぐ気づいたのは、本が薄くなったこと。内容が精選されたのか?
紙面を見ると、フォントが小さくなっている。ページのマージンも少し切り詰められている。情報の密度が上がって本が薄くなっただけのようだ。フォントが小さくなった代わりに行間が空き、太字のウエイトも下がって、暑苦しさが減った。文字が小さくても読みやすくなったと思う。
図と本文のレイアウトが改善され、関連した図が見開きでまとめて見渡せるようになった。図やレイアウトの改善は本全体に及んでいて、変わっていない部分の方が少ない。
前版以降の発生学・発生生物学の進歩を反映し、新しい本文や図も加わっている。たとえば、Cre-LoxPなどだ。
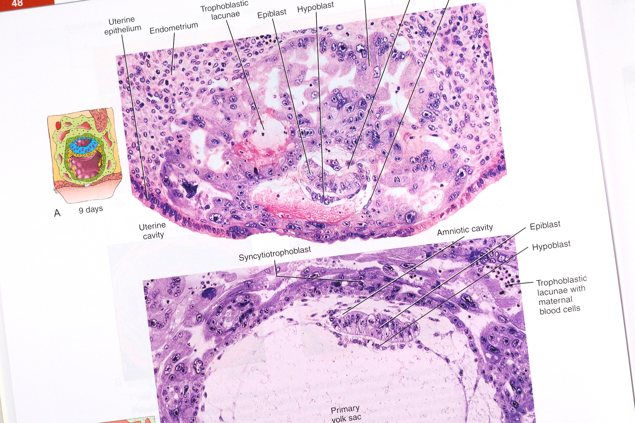
類書と比較して、『Larsen’s Human Embryology』は内容が充実している。類書では模式図で済まされるようなところにも実際の写真が使われていて、迫力がある。例えば、ヒト胚の初期発生の標本は現在では入手困難なために、美しい顕微鏡写真は少ない。本書では第2週から顕微鏡写真が使われている。贅沢に学べる。
心発生のところを少しのぞいてみよう。
二次心臓野を含めてストーリーが組み立てられ、心臓野の誘導因子にも言及されている。折角勉強するのに、古い情報を掴まされる恐れが少ないのはありがたい。
ここでも顕微鏡写真が使われ、模式図とともに形態の変化を理解しやすいように工夫されている。心内膜床と房室中隔の発生などは、模式図だけではなかなか実体を捉えにくいが、立体感のある走査型電子顕微鏡写真とともに模式図があると、それがよくわかる。
流出路の中隔形成も立体をとらえるのが難しい部分だ。ここでは顕微鏡写真はないが、立体感のある模式図でわかりやすい。
大きな囲み記事が3種類ある。ひとつは「Clinical Taster」で、章の初めにあり、臨床症例が1つ呈示される。続く学習でこれが解るようになろう、ということだ。
もうひとつは「IN THE RESEARCH LAB」で、本文に関連した発生生物学のトピックがまとめられている。
3つめは「IN THE CLINIC」で、章の最後にある。ここでは臨床関連事項、具体的には発生異常がまとめられている。この囲み記事のすぐあとに図がまとまっていて、ここをみるだけでも発生異常の概要を見渡せる。
エルゼビアの他の教科書同様、Student Consultで全文の電子版が読める。電子版には本文の他、追加のコンテンツもある。他の本のサンプルが多いのは煩わしいが(映画の本編が始まる前のイラナイ予告編のようだ;この本自体はいい本だと思う)。
- Learning Resources(参考文献)
- Multimedia Resources(「Weir & Abrahams’ Imaging Atlas of Human Anatomy」からの見本の図で発生学とは関係ない)
- Assessments(練習問題)
- Videos
- Free Sample(「Weir & Abrahams’ Imaging Atlas of Human Anatomy」からの見本のコンテンツ)
『Larsen’s Human Embryology』と同様のポリシーの教科書は他に2つある。
日本語版もあるが、西村書店扱いのは改訂が遅れている。速やかにアップデートしてほしい。
分量の多いテキストは、本学の授業でメインに使うには向かないかもしれない(授業時間削減でキビシイのである)。これらは調べ物に使って、薄い本で骨子を押さえるのが、多くの人にはよさそうだ。




















