日誌 2019年9月20日 by 村上 徹 · Published 2019年9月20日 · Last modified 2025年11月22日 Week3 上肢、第1回試験の準備 火曜日から金曜日まで、終日解剖学の授業。 火曜日:四肢発生の講義、腋窩の解剖 水曜日:上腕〜前腕 木曜日:前腕〜手 金曜日:関節 腕神経叢のスケ...
日誌 2019年9月20日 by 村上 徹 · Published 2019年9月20日 · Last modified 2025年11月22日 Week2 Day4 骨学、上肢、発生学 午前中は上肢骨の講義と実習。 午後は発生学総論(~14:15)と、来週の上肢の実習への講義(~15)。第1回試験、とくに実地試験と問題作成につい...
日誌 2019年9月19日 by 村上 徹 · Published 2019年9月19日 · Last modified 2025年11月22日 Week2 Day3 肩甲部、胸筋部 8:40 前説、出席 8:50 ブリーフィング 11時 14の班で前胸壁へ。1つの班で乳腺完了 15:40 7班作業中、数班片付けまたは復習中 ...
日誌 2019年9月18日 by 村上 徹 · Published 2019年9月18日 · Last modified 2025年11月22日 Week2 Day2 背部深層の筋、脊柱 8:40 前説、出席スタート。 8:50 ブリーフィング5分間。帰る前にも忘れずに。 11:30 数班が椎弓切除へ。 13時 ほぼ全班で椎弓切除...
日誌 2019年9月17日 by 村上 徹 · Published 2019年9月17日 · Last modified 2025年11月22日 Week2 Day1 講義、実習初日 午前午後とも、解剖学。朝は講義。続いて実習。 名札配布、黙祷、皮切りのデモなどオリエンテーション。 背部の皮下組織と筋膜の解剖。大後頭神経の剖出...
日誌 2019年9月13日 by 村上 徹 · Published 2019年9月13日 · Last modified 2025年11月22日 Week2 火曜日の朝から解剖学実習が始まる。終日肉眼解剖学。 予習! 実習の支度、アトラス、教科書、実習書 5分前の精神 ブリーフィング 概要 火曜日:解...
日誌 2019年9月13日 by 村上 徹 · Published 2019年9月13日 · Last modified 2025年11月22日 Week1 Day4 骨学 骨学の講義と骨学実習。骨をどうまなぶかがポイント。 今日の骨学実習は、インベントリーチェックに続いて、脊柱、胸郭、上肢。スケッチの課題あり。
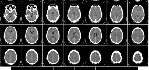
日誌 2019年9月12日 by 村上 徹 · Published 2019年9月12日 · Last modified 2025年11月22日 Week1 Day3 神経系、CT 全身にわたる系統から、神経系(脳は神経解剖学で)。 CTとDICOMビューア。今日インストールしよう! 小一時間以上掛かります。ファイル容量も1...
日誌 2019年9月11日 by 村上 徹 · Published 2019年9月11日 · Last modified 2025年11月22日 Week1 Day2 運動器系、脈管系 全身にわたる系統から、運動器系と脈管系。
日誌 2019年9月10日 by 村上 徹 · Published 2019年9月10日 · Last modified 2025年11月22日 Week1 Day1 オリエンテーション、総論 13:00から、解剖学の授業スタート 出席の説明 諸注意、教員紹介など 解剖学総論 学習の目安 iPad配布
日誌 2019年9月9日 by 村上 徹 · Published 2019年9月9日 · Last modified 2025年11月22日 WEEK1 ガイダンス・系統講義・骨学実習 9月10日(火)の午後から解剖学の授業が始まる。 火:ガイダンス、iPad配布、教科書即売会 水:献体と解剖、系統講義 木:系統講義、CTのしく...
日誌 2019年8月16日 by 村上 徹 · Published 2019年8月16日 · Last modified 2025年11月22日 2019年度解剖班組み 2019年度の解剖班の組合せ最適化計算が完了し、最終確認中です。問題がなければ、来週はじめに各履修生にメールで通知します。(8/19 9時過ぎ、...